관절 줄기세포 치료는 제대혈에서 추출한 간엽줄기세포를 분리 배양한 줄기세포치료로 100% 순수한 간엽줄기세포로 구성되어 있어 연골손상부위의 크기나 연령의 제한이 없다는 것을 최대 장점으로 꼽을 수 있습니다. 기존의 세포치료는 자가연골세포나 골수세포였으므로 분화능력에 제한이 있어 젊은 연령층(50대 미만)에만 제한적으로 적용 가능할 뿐이었습니다.
그러나 줄기세포 치료제인 카티스템은 50대 이상의 슬관절염 환자에서 뛰어난 효과를 보인 바 있습니다. 또한 임상에 참여한 환자 대부분(88.4%)에게서 재생된 연골이 손상 전 연골과 유사한 연골임이 확인되었는데, 재생된 연골이 손상연골과 유사한 연골, 즉 hyaline-like 연골이 아닌 경우에는 일반적으로 2~3년을 넘기지 못하고 재치료를 받게 되는 경우가 대부분입니다.
관절 줄기세포 연골재생 수술 과정
관절 줄기세포 연골재생 수술은 일반적인 관절경 이후에 슬개건 좌측을 약 4~5cm만 미니절개하여, 내측대퇴과의 연골결손부위를 노출시킨 후 그 상태에서 젤 같은 형태의 줄기세포 치료제인 카티스템을 결손부위에 뿌려서 모양을 잡아주는 간단한 수술입니다.
최소절개하는 이유는 관절경상 흐르는 물이 있으면, 젤 상태의 줄기세포 치료제를 잘 굳히고 모양을 잡아주기 어렵기 때문입니다. 줄기세포 치료의 개념이 아직 잘 잡히지 않아서 복용하는 약이나, 혹은 주사로 되어 무릎부위에 주사하는 제형으로 아는 분들이 있는데 줄기세포 치료제는 성체줄기세포의 배양액을 연골세포로 만든 젤형태의 연골결손치료제입니다.
재활기간
관절 줄기세포 치료는 수술 이후 재활은 6주간 절대로 체중부하를 해서는 안되며 목발의 이용기간은 12주 정도 됩니다. 목발 없이 보행 가능한 시기는 전문의의 확인에 따라 달라질 수 있지만, 처음 3주는 치료한 무릎에 대해 몸무게의 약 1/4 정도로만 힘을 받게 하고, 되도록 정상적인 걸음으로 걷는 연습을 해야합니다. 시간이 지나면서 점차 걸음의 무게량을 늘리는 것이 좋습니다.
관절 줄기세포 치료 수술을 받았다고 해서 무조건 통증없이 되는 것은 아닙니다. 관절 줄기세포 치료 수술을 받은 후에도 환자분의 무릎에는 결손된 연골만이 메워졌을 뿐 변성되어있는 연골판이나 늘어난 피막인대 등이 해결되지는 않았기 때문입니다.
관절줄기세포연골재생술
인공관절수술
근위경골절골술
관절내시경수술
인공관절수술
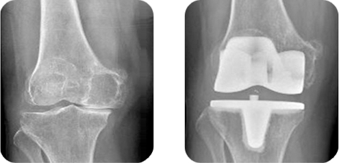
만약 무릎이 관절염 혹은 외상에 의해 손상되었다면 걷기나 계단 오르내리기 등의 간단한 운동을 하기에 불편감을 느끼고 심한 경우 누워있거나 앉아 있을 때 조차 통증을 느끼게 될 것 입니다. 만약 보조기나 약물치료 등의 보존적 치료가 더 이상 효과적이지 않다면 무릎관절 인공관절 전치환술의 수술적 치료가 필요하게 됩니다.
이 수술은 X-선 검사에 퇴행성 관절염이 심하고 약물 치료에 호전이 없는 환자에서 사용할 수 있는 마지막 수술법으로 알려져 있습니다. 인공관절 전치환술은 최초에 1968년에 시행되었고 보형물의 발전과 수술기법의 발전으로 인해 현재는 가장 많이 시행되고 있는 수술 중 하나입니다. 만성 무릎 통증과 장애의 가장 흔한 원인은 관절염입니다. 관절염에 많은 종류가 있지만 대부분의 무릎 통증은 단지 세 가지 유형에 의해 발생합니다.
퇴행성 관절염
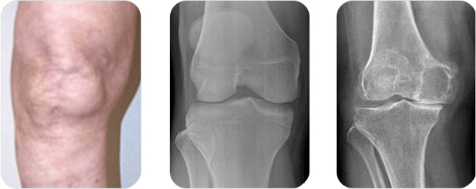
골관절염(OA)는 무릎 관절염의 가장 일반적인 형태로 관절 연골이 점차 마모되어 천천히 진행되는 퇴행성 질환이며 대부분 중년 및 노년층에 흔히 나타나게 됩니다.
류마티스 관절염
류마티스 관절염 (RA)은 자가면역항체가 자기 관절을 공격하여 관절 연골을 파괴하는 염증성 관절염의 유형으로 주로 30대 중년 여성에서 잘 발생하는 관절염입니다. 류마티스 관절염는 일반적으로 양측 무릎 관절에 발생하며 또한 다른 관절에도 동반합니다(손, 손목)
외상 후 퇴행성 관절염
외상 후 관절염은 무릎 부상 이후에 발생하는 관절염으로 골관절염과 유사한 양상을 보이지만 골절, 인대 손상 혹은 반월상 연골 손상 후 수년 후에 발생하게 되는 관절염입니다.
뼈의 제거 : 대퇴골과 경골의 말단에 있는 손상된 관절 연골을 연골 하방에 있는 뼈의 절편과 함께 제거합니다.
금속 보형물의 위치 : 절제된 연골과 뼈는 금속 보형물로 대체되게 되며 이 보형물이 관절 면을 재형성하게 됩니다. 이 보형물들은 골시멘트를 이용하여 부착할 수 있고 혹은 “press-fit”으로 맞춰 부착되어 고정시키게 됩니다.
슬개골 치환 : 슬개골의 밑면이 절제되고 플라스틱 보형물로 대체되게 됩니다. 환자의 슬개골 관절 연골의 상태에 따라 치환술을 시행하지 않는 경우도 있습니다.
충전물 삽입 : 대퇴골과 경골의 금속 보형물 사이에 플라스틱 충전물을 삽입하게 되며 이로 인해 금속끼리 부드럽게 움직일 수 있게 합니다.
수술을 권장하는 경우
걷는 것과 같은 일상생활을 제한하게 하는 통증 혹은 강직
안정을 취해도 지속되는 통증
보존적 치료에 반응 보이지 않는 만성화된 무릎 염증
무릎 변형
다른 보존적 치료에 실패한 경우
수술 대상
인공관절 전치환술에 있어 절대적인 나이나 몸무게의 제한은 없습니다. 대부분의 인공관절 전치환술을 받은 환자들의 나이는 60세에서 80세 사이 입니다. 그러나 되도록 인공관절 치환술도 수명이 있으므로 65세 이상에서 시행하는 것이 환자에게 유리하며 또한 X-선 검사에서 말기 퇴행성 관절염인 경우 시행해야 합니다. 다른 어떠한 치료법도 통증 완화에 유효하지 않을 때는 60세 이하에서도 불가피하게 시행할 수 있습니다.
통증관리
수술 후 통증을 느끼게 되지만 편안할 수 있게 간호사나 의사들이 약물을 처방할 것입니다. 회복에 통증 관리는 중요한 부분입니다. 수술 직후 걷기와 무릎 관절 운동을 시작하게 됩니다. 통증이 없다면 조기에 움직이도록 해야 회복이 보다 빠르게 됩니다. 만약 통증이 문제가 된다면 바로 수술한 주치의와 상의하여야 합니다.
물리치료
수술 후 2일째에 재활운동을 시작하게 됩니다. 수술 후 일상생활이 가능할 수 있게 물리치료사가 근력강화 운동 및 운동범위 회복 운동을 교육할 것입니다. 무릎의 움직임을 회복하기 위해 CPM이라는 보조 운동 기구를 통해 천천히 운동을 시작할 것입니다.
관절줄기세포연골재생술
인공관절수술
근위경골절골술
관절내시경수술
근위경골절골술
비교적 젊은 나이(60세 이하)에 무릎의 관절염이 발생했을 경우에는 인공관절 치환술을 시행하기에 적절하지 않은 면이 있습니다. 현재 인공관절의 내구성은 10-15년으로 50대에 인공관절 수술을 한다고 가정한다면 후에 2-3회의 추가적인 인공관절 치환술을 시행해야 하는 상황도 생길 수 있는데, 인공관절 재치환술은 횟수가 증가할수록 최초 시행한 인공관절 치환술만큼 좋은 수술 결과를 기대할 수 없습니다.
퇴행성 관절염은 대개 무릎의 내측 부위부터 시작되어 외측으로 진행되는데, 내측 부위에만 관절염이 발생한 60대 이하의 환자의 경우에는 근위 경골 절골술이 치료의 대안이 될 수 있습니다. 무릎 내측에 관절염이 발생하면 무릎은 내반(O자 다리)변형이 생깁니다.
정상 무릎은 체중이 무릎의 중앙을 통과해서 발목으로 전달이 되는데, 무릎이 내반되면 체중이 무릎의 내측으로 전달되어 이미 손상된 내측 부위로 과도한 체중이 부하되고 퇴행성 관절염이 급속히 악화된다.
HTO는 60대 이전에 무릎 안쪽에만 관절염이 발생해있고 내반 변형이 생긴 환자에서 시행합니다. 모든 환자에서 수술이 가능한 것은 아니고 무릎이 과도하게 내반된 경우, 무릎이 90도 이상 안 구부러지거나, 무릎이 15도 이상 안 펴지는 경우 과도한 비만 등의 경우는 수술이 불가능 합니다.
수술 과정
먼저 HTO 수술 전에 관절경을 시행해서 무릎 외측 부위에 있는 연골 상태의 정상 유무를 확인하고 정상인 경우에 HTO 수술을 진행한다.
수술 방법은 종아리뼈(경골) 상단에서 아랫쪽으로 약 5,6cm 되는 부위를 절골한 후 뼈를 벌려서 쐐기 모양의 빈 공간을 만들면 무릎의 내반 변형이 교정이 되는데, 이때 좀 더 과하게 교정을 해서 무릎의 바깥 부분으로 체중이 부하되도록 한다.
이 상태에서 금속판을 이용해서 교정된 뼈를 고정하고, 쐐기 모양의 빈 공간은 뼈 이식을 통해서 결손을 채운다. 이렇게 HTO 수술을 하면 수술 후에, 연골이 망가진 내측으로 체중이 전달되지 않고 외측에 있는 정상 연골로 체중이 전달되기 때문에 무릎의 통증이 감소된다.
관절줄기세포연골재생술
인공관절수술
근위경골절골술
관절내시경수술
관절내시경수술
관절 내시경은 흔한 수술 방법으로 작은 카메라를 삽입하여 관절을 관찰하는 방법입니다. 관절 내시경은 무릎 관절 내부의 영상으로 무릎 안의 문제를 진단 및 치료하는데 도움을 줍니다. 기술적으로는 고해상도 모니터, 카메라를 이용하여 무릎 문제를 치료하는데 가장 효과적인 수술 기구입니다.
관절 내시경은 작은 절개를 통해 시행되게 되며 이 삽입구를 통해 작은 카메라가 달려있는 관절 내시경을 관절 안으로 삽입하게 되며 이 카메라에서 영상을 모니터로 전송하게 되고 이 모니터를 통해 보다 자세히 관찰할 수 있습니다. 손상된 조직을 제거 혹은 봉합하기 위해선 작은 수술도구가 필요하게 되며 이들 도구는 무릎의 반대편에 작은 절개를 통한 삽입구로 삽입되어 사용되게 됩니다.
수술 방법
무릎에 몇 개의 작은 삽입구를 형성하게 되고 소독된 물을 무릎 관절 안으로 주입합니다. 무릎을 부드럽게 하고 시야를 깨끗이 확보하여 더 선명한 영상을 얻을 수 있습니다.
가장 중요한 목적은 관절 내시경을 이용하여 정확한 진단을 하는 것이며 만약 수술적 치료가 필요한 경우 수술 도구를 직접 삽입하여 치료를 동시에 시행할 수 있습니다. 검사 진행은 약 10분 정도의 시간이 소요되며 필요한 수술 시간은 관절 내시경을 통해 보이는 손상 정도나 치료 방법에 따라 달라지게 됩니다.
무릎 관절내시경이 사용되는 경우
반월상 연골의 봉합 또는 절제가 필요한 경우
전후방 십자 인대의 재건이 필요한 경우
깨진 관절연골을 다듬는 경우
뼈나 연골의 깨진 유리체를 제거하는 경우
염증이 생긴 활막염을 제거하는 경우
결과
인대 재건이 아닌 관절 내시경을 시행한 경우 약 4-6주 후면 정상적인 일상 활동이 가능하지만 직접 접촉이 있는 운동은 더 오랜 기간 피하셔야 합니다. 운동 전에 운동이 가능한지 꼭 전문의와 상의를 해야 합니다. 만약 노동이 많은 직장이라면 업무 복귀하는데 보다 오랜 시간이 필요합니다. 수술 후 최종 결과는 수술 당시 무릎의 손상 정도에 따라 결과가 달라지게 되며 만약 관절 연골에 손상이 넓게 있다면 완전한 회복은 불가능하게 되며 전반적인 생활 습관에 변화를 줘야 합니다.