어깨관절은 극상근, 극하근, 견갑하근, 소원근 총 네 개의 힘줄이 덮개처럼 둘러싸고 있는데 이것을 회전근개라고 합니다. 40대 이후에는 회전근개로 가는 혈액순환이 저하되면서 퇴행성 변화가 진행되어 사소한 외상 등에 의해서 파열되기 쉬운 상태가 됩니다.

| 증상 |
|
|---|---|
| 원인 |
|
| 진단 |
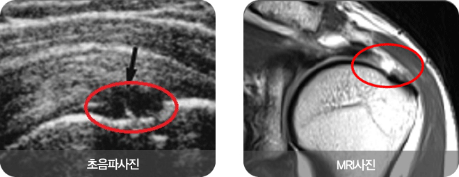
환자의 증상과 진찰을 토대로 먼저 진단하며 엑스레이, 초음파 및 MRI 등의 영상검사를 병행합니다. 파열이 진행할수록 진찰 소견상 파열이 느껴지거나 만져지기도 하며 근 위축이 관찰되기도 합니다. 파열된 근육의 근력을 측정하는 다양한 검사들이 있으며 각각의 힘줄 파열에 대한 검사법을 시행합니다. 현재 널리 사용되고 있는 영상검사는 초음파와 MRI입니다. 회전근개 파열 유무뿐 아니라 파열의 크기, 정도 및 파열된 건 끝부분의 퇴축정도를 알 수 있어 수술 방법을 선택하고 계획하는데 도움이 됩니다. |
| 치료 |
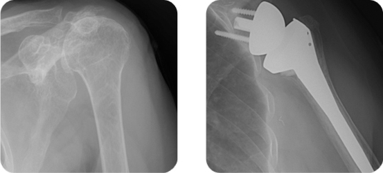
환자의 나이, 직업, 필요한 기능 정도, 파열의 크기, 기능 저하의 정도, 손상 기전, 통증의 정도 등을 감안하여 결정합니다. 먼저 힘줄의 파열이 부분적으로 있는 경우에는 비수술적 치료를 먼저 시행합니다. 비수술적 치료법으로는 약물 또는 주사를 이용한 통증 치료, 스트레칭을 이용한 관절운동, 어깨 주위 근력 강화 운동 등이 있으며 파열이 심하지 않거나 75세 이상의 고령 환자에게 시행합니다. 반면 힘줄의 전체두께가 파열된 전층 파열의 경우 일반적으로 수술적 치료를 시행합니다. 또한 활동이 많을 것으로 예상되는 젊은 연령의 환자, 강한 외력에 의한 외상성 파열이라고 진단되는 경우, 심각한 기능 이상 및 근력의 저하를 동반한 경우 등에서도 수술을 고려하는 것이 일반적입니다. 수술적 치료는 파열된 힘줄의 봉합하는 것이 기본이며 통증이 원인이 되는 점액낭염, 활액막염 등을 제거하고 힘줄과 충동을 일으킬 수 있는 견봉이나 오구돌기 같은 뼈들의 일부를 제거하는 것이 주 내용입니다. 과거 개방적 술식으로 봉합을 하였으나 현재는 관절경을 이용한 봉합술이 널리 사용되고 있습니다. 파열의 크기가 광범위하고 끊어진 파열 부위가 몸쪽으로 들어간 퇴축이 아주 심할 경우는 봉합이 불가능하거나 봉합해도 다시 재파열 될 확률이 높습니다. 이와 같은 경우, 노인에게는 심한 통증과 근력 약화로 일생생활에 장애가 심하다면 역 견관절 전 치환술이라는 인공 관절 수술을 시행할 수 있습니다. ![]() 회전근 파열이 심해져 관절염이 생기거나 팔을 전혀 들어 올릴 수 없는 마비 증상이 왔을 때 역 견관절 치환술을 시행합니다. ![]() |

어깨에는 어깨를 회전시키는 4개의 힘줄이 있는데 이 힘줄들을 회전근개라고 합니다. 어깨에 견장을 붙이는 부위에 해당하는 뼈를 견봉이라고 하는데 이 견봉 밑에 회전근개가 있습니다. 어깨 충돌 증후군은 어깨를 위로 올릴 때 회전근개와 견봉이 부딪히면서 그 사이에 있는 점액낭(기름주머니)에 염증이 생겨서 통증을 일으키는 질환입니다.
이는 견봉의 모양이 선천적으로 어떻게 생겨 있느냐에 따라 어깨 충돌증후군이 빈번히 발생할 수 있습니다. 견봉의 모양은 3가지 형태로 구분하는데 첫 번째로는 견봉이 사진과 같이 편평한 모양이 있으며 이런 분들은 대개의 경우 어깨를 과다 사용하여도 크게 문제를 일으키지 않습니다.
둘째로는 견봉이 아래로 휘어진 형태로 어깨 충돌증후군을 일으킬 수 있습니다.

세번째는 견봉 아래로 심하게 돌출되어 있는 형태인데 약간의 운동으로도 회전근개를 자극하는 전형적인 어깨 충돌 증후군의 모양입니다.
어깨 충돌 증후군은 처음에는 점액낭의 염증, 회전근개 자체의 급성부종을 일으키는 회전근개증이 생기다가, 대개 40대에 들어서면서 회전근개의 부분파열 및 동반된 심한 염증으로 증상이 심해지고, 50대에 들어서면서 회전근개의 전층파열이 발생하는 경우가 많습니다.
| 증상 |
|
|---|
어깨를 움직이는 힘줄에 석회가 쌓이면서 염증이 생기는 질환입니다. 주로 발생하는 부위는 극상근이라는 힘줄에서 주로 발생합니다. 석회성 건염이 오래되면 힘줄이 끊어질수도 있습니다. 회전근의 힘줄 부분에 석회가 침착 하는 힘줄 질환으로 30~50대 사이에서 호발합니다. 발병 원인은 아직 정확히 밝혀지지 않았으며 여자 환자들이 많습니다.
| 증상 |
|
|---|---|
| 자연 경과 | 석회성 건염은 병의 시기와 진행 정도가 있습니다. 처음 석회가 만들어지다가 저절로 흡수되어 사라지는 경우가 많습니다. 각 시기마다 석회의 음영과 크기가 변화하기도 합니다. 일부 환자에서는 수개월~수년에 걸쳐 흡수 되지 않고 남아 있으면서 종종 통증을 유발 하기도 합니다. |
| 진단 |
![]()
엑스레이 사진에서 어깨주변에 뼈 음영과 비슷한 밀도의 하얀 석회가 관찰됩니다.
석회의 위치에 따라 전후면, 측면 및 액와(겨드랑이) 엑스레이 사진에서 보입니다. 양측에 발생하는 경우도 있습니다. |
| 치료 |
![]()
병의 자연경과를 고려하면 우선 보존적 치료를 시행할 수 있습니다. 약물이나 냉/온 찜질 등의 물리치료를 이용하여 통증을 완화시키면 시간이 지나면서 병이 치유되는 일이 많습니다. 통증이 심하고 오래되면 주사를 이용한 세척, 체외 충격파 요법을 할 수도 있습니다.
보존적 치료요법에 호전이 없고 증상이 지속되면 수술적 치료를 시행할 수 있습니다. 최근 어깨 관절경 시술을 통해 주위조직의 손상 없이 힘줄 안의 석회만 배출시키는 시술이 좋은 결과를 보고하고 있습니다. |
어깨 관절을 감싸고 있는 관절낭에 염증이 생기거나, 손상되어 두꺼워진 관절낭이 뼈에 달라 붙어 어깨의 움직임이 제한하는 질환입니다. 어깨가 마치 얼어버린 것처럼 굳는다고 해서 ‘동결견’이라고도 불리며 야간에 통증이 심해지기도 합니다.

| 원인 | 유착성 관절낭염은 1차성과 2차성으로 나누며 1차성은 원인이 특별히 알려지 있지 않습니다. 2차성은 골절, 탈구 등 외상이나 수술 후에 2차적으로 어깨가 굳는 것을 말합니다. |
|---|---|
| 증상 |
심한 어깨 통증과 능동적, 수동적 관절 운동 제한을 보이는데, 처음에는 어깨를 안쪽으로 돌리기 힘들어 하고 이후 팔을 앞으로 들기 힘들거나 밖으로 돌리기도 힘들어 합니다. 예를 들면 세수할 때나 머리를 감을 때 뒷목을 만지지 못하거나, 머리 빗기가 어렵고, 뒤 호주머니에 손을 넣기가 어렵고 여자들은 옷 뒷 단추를 끼우기가 어렵게 됩니다. 오십견은 질병의 자연경과를 밟게 되는데 처음에는 동통만 존재하다가 동통과 운동제한이 동시에 나타나다가 결국 동통이 줄게 되는데 최근 연구에 의하면 수년이 경과 하여도 어느 정도 운동제한이 남아있는 경우가 흔하다고 알려져 있습니다. 또한 낮보다 밤에 통증이 더 심해져 밤잠을 제대로 못 이루는 경우가 많습니다.
|
| 진단 | 환자의 증상과 진찰 소견으로도 진단이 가능합니다. 비슷한 증상을 가지는 회전근개 질환과 감별점은 수동적 관절운동(다른 사람이 관절 운동을 시키는 운동)의 제한 유무입니다. 두 질환 모두에서 능동적 관절 운동 제한이 있습니다. 하지만 회전근개 파열환자의 경우는 대부분 수동적 운동 제한은 심하지 않지만 오십견인 경우는 수동적 운동제한도 현저합니다. |
| 치료 |
오십견 치료는 비수술적 요법으로 치료가 가능한 대표적 질환입니다. 병의 이환 기간이 길고 증상이 오래가지만 스트레칭을 통한 운동요법과 약물을 통한 통증조절을 시행하면 만족할 만한 결과를 얻을 수 있습니다. 관절내 스테로이드 주입도 통증감소에 효과적인 방법입니다. 가끔 수술을 시행할 경우도 있는데 전신 마취하에 도수조작을 하거나 개방적 유리술 또는 관절경하 관절낭 유리술을 시행하는 방법들이 있습니다. 스트레칭 운동에는 팔을 앞으로 드는 거상 운동, 팔을 편하게 내린 상태인 중립위에서 하는 외회전 운동, 등 뒤 내회전 운동, 상체 교차 운동 등이 있습니다. 어깨관절 운동의 모든 방향으로 스트레칭을 하는 것이 중요합니다. 참을 만한 정도의 통증으로 10초간 스트레칭 자세를 유지하고 10회 정도 하루에 3~5회정도 시행하는 것이 좋습니다. |
어깨 관절을 이루고 있는 두 개의 뼈는 관절순과 인대들로 튼튼히 연결되어 있습니다. 외상으로 어깨 관절이 탈구되는 순간 인대들이나 관절순이 파열될 수 있습니다. 빠진 관절은 쉽게 맞출 수 있지만 손상된 인대나 관절순의 기능은 복원되지 못하여 관절이 다시 빠지게 되는 것 입니다.
간혹 선척적으로 관절의 이완성이 다방향성으로 심한 경우가 있는데, 이런 경우 증상이 없다면 불안정성으로 진단하지 않습니다. 다만 증상이 지속되는 경우에는 관절낭의 손상이 원인으로 간주됩니다. 어깨탈구 중에서 앞쪽으로 상완골이 빠져나가는 것(전방전위)이 가장 흔합니다.

| 증상 |
|
|---|---|
| 원인 |
|
| 진단 |
![]()
급성 탈구인 경우 진찰소견과 엑스레이 소견을 보고 탈구의 방향을 조사하는데 대부분의 경우 팔이 앞쪽으로 빠지는 전방 탈구입니다. 재발성 탈구가 되면 MRI 등으로 관절순 또는 인대들의 상태를 분석하는 것이 필요합니다. 또한 재발성 탈구시 골절을 동반하는 경우와 골결손이 심하면 수술전 CT사진이 필요합니다.
|
| 치료 |
불안정성의 경우 그 정도 및 종류에 따라 치료의 방법이 달라질 수 있으며 다방향 불안정성의 경우 혹은 전방 불안정성의 경우에도 그 정도가 심하지 않은 경우에는 물리 치료 등을 이용한 보존적 치료를 시행하여 볼 수 있으나, 반복적인 견관절의 전방 탈구 등이 지속될 때에는 수술적 치료가 필요합니다. ![]() 수술적 치료 방법은 관절이 탈구될 때 발생한 관절와순을 봉합하는 수술을 시행할 수 있으며 (일명 “방카르트수술”) 과거에는 관절을 열어 노출 시킨 후에 봉합하는 방법을 많이 이용하였으나 현재는 대부분 관절경을 이용하여 복원술을 시행하며 이로 인해 회복이 빠르고 수술 시 발생할 수 있는 관절 손상의 가능성이 줄었습니다. 골결손이 심한 경우에는 이에 대해 골이식 등의 치료법을 이용할 수 있습니다. |

팔을 어깨 위로 반복적으로 들어올리는 경우나 어깨관절에 직접 가해지는 물리력에 의해 발생하는 경우, 40대 이후에서 회전근개 건병증과 연관되어 발생하는 경우 등 여러가지 상황이 있을 수 있습니다.
고령층에서 상부관절와순 후방부의 경도 분리는 정상적인 범주로 간주됩니다. 야구에서 던지는 동작이라든지, 머리를 감는 동작, 수영에서 팔을 뒤로 드는 동작 등을 할때 통증이 발생합니다. 젊은 환자의 경우는 수술적 치료가 필요합니다.

상부관절와순 파열은 형태에 따라 치료방법에 약간씩 차이가 있으나 대개 헤어진 부위는 관절내시경으로 매끈하게 다듬고 관절와에서 떨어져 나와 불안정한 부위는 관절와에 붙이는 수술을 하게 됩니다.