
특별한 원인이 없이 생기는 1차성 퇴행성 관절염과 다른 질병이나 외상 후에 생기는 2차성 퇴행성 관절염으로 구분합니다.
| 증상 |
|
|---|---|
| 원인 | 1차성 퇴행성 관절염의 확실한 원인은 밝혀져 있지 않으나 나이, 성별, 유전적요소, 비만, 특정관절 부위 등이 영향을 주는 요인이 됩니다. |
무릎관절은 희고 매끄러운 연골로 끝부분이 덮혀 보호받고 있습니다. 반월상 연골과는 다르며 반월상 연골과 구분하기 위해 관절연골이라고 부릅니다.
관절연골은 관절에 가해지는 힘을 분산시키고 최소화하며 마찰력을 줄여줍니다. 항상 접촉하게 되는 연골은 나이가 들수록 재생능력이 떨어지면서 탄력이 줄고, 표면은 거칠어지면서 약해집니다.
관절연골손상은 질병, 외상이나 과격한 스포츠, 노화, 비만 등 여러 원인들이 많지만 주로 외상으로 인한 손상과 노화로 연골에 염증이 생기거나 수분량이 떨어져 닳아 없어지면서 연골 표면이 거칠어 지거나 결손(움푹 패이는 상태)이 발생할 수 있습니다.
평소 무거운 물건을 많이 드는 직업이나, 특성상 계속 서있어야 하는 경우 관절연골이 무리가 많이 가고 급작스러운 충격으로 관절연골이 손상 될 수도 있습니다.

| 증상 |
|
|---|

반월상 연골판은 대퇴골(허벅지뼈)과 경골(종아리뼈) 사이에 위치하는 조직으로 체중을 전달, 충격을 흡수, 관절을 안정시키며, 관절 연골을 보호하는 역할을 합니다. 내측 및 외측 반월상 연골판으로 이루어지는데, 내측 연골판은 외측보다 반경이 큰 C자 모양으로 되어 있고, 외측에 비해 외력에 취약한 특성을 가지고 있습니다.
외측 연골판은 내측보다 크기가 작고 그 모양이 원형에 가까우며, 내측에 비해 유동성이 있습니다.
| 증상 | 반월상 연골은 무릎 관절이 비틀어지는 힘을 받았을 때 손상 되고 퇴행성 변화로 오랜기간 반복적인 자극에 의해서도 손상이 될 수 있습니다. |
|---|---|
| 원인 |
반월상 연골판 손상은 20대에서 40대 사이에서 흔하고, 남자에서 2.5배에 4배정도 더 많이 발생합니다.
|
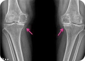
무릎뼈 관절연골에 연화 현상이 발생하는 질환으로 주로 청장년층, 여성에게 많이 발생합니다.
연골에 단순히 부종이 있는 단계부터 서서히 진행되면서 연골 두께 전체에 균열이 가고 손상이 생길 수가 있습니다.

| 원인 | 계단을 자주 오르내리는 일을 하거나 무릎을 오랫동안 구부린 채 일을 자주하는 경우에 잘 발생하며, 그 이외에 슬개골이 탈구되거나 골절이 되어 관절면이 어긋난 상태에서 그대로 치유가 된 경우, 슬개골의 연골이 외상에 의한 손상을 입은 경우, 다리가 바깥쪽으로 휘어져(X자 다리) 무릎뼈 바깥쪽에 과도한 압력으로 인해 발생하는 경우에도 슬개골 연골연화증이 발생할 수 있습니다. |
|---|---|
| 증상 |
|
| 치료 |
|
이 인대들은 무릎관절의 양 측면(내측 측부인대, 외측 측부인대)에 존재합니다. 내측 측부인대(MCL)는 대퇴골과 경골을 연결하고 있으며, 외측 측부인대(LCL)는 대퇴골과 비골에 연결되어 있습니다. 이 인대들은 무릎 관절의 좌우 움직임을 제한하고 비정상적인 움직임에 대해 무릎을 보호 합니다.

이 인대들은 무릎관절의 양 측면(내측 측부인대, 외측 측부인대)에 존재합니다. 내측 측부인대(MCL)는 대퇴골과 경골을 연결하고 있으며, 외측 측부인대(LCL)는 대퇴골과 비골에 연결되어 있습니다. 이 인대들은 무릎 관절의 좌우 움직임을 제한하고 비정상적인 움직임에 대해 무릎을 보호 합니다.
| 원인 |
다음과 같은 경우 무릎인대손상이 생길 수 있습니다.
|
|---|---|
| 증상 |
|
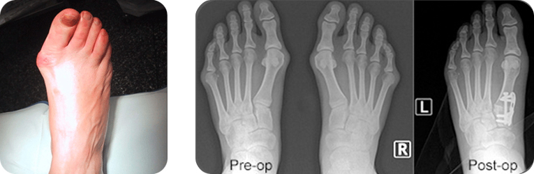
무지외반증은 엄지발가락이 바깥쪽으로 휘고 엄지 발가락에 해당하는 발등의 뼈는 반대로 안쪽으로 휘어 엄지발가락과 발등뼈가 만나는 부위가 심하게 튀어나오는 병입니다.

| 원인 |
선천적인 요인
후천적인 요인
|
|---|---|
| 증상 |
가장 흔한 증상은 엄지발가락과 발등이 만나는 부위가 튀어나오고 이 부위가 신발에 자극을 받아 두꺼워지고 염증이 생겨 통증이 발생합니다. 2차적으로는 두 번째 또는 세 번째 발가락의 발바닥 쪽에 굳은 살이 생기고 통증이 발생하기도 합니다. 심한 경우에는 두 번째 발가락이 엄지 발가락과 겹쳐지거나 관절이 탈구되기도 합니다. |
| 치료 |
무지외반증 환자의 치료 여부는 환자의 불편함 정도와 의학적 소견을 종합하여 결정 하는 것이지만 가장 중요한 것은 환자가 주관적으로 느끼는 불편함의 정도이며 아무리 변형이 심하다고 해도 그것만으로 수술 여부를 결정하는 것이 아닙니다. 1) 보존적인 치료 보조적인 치료는 돌출 부위를 자극하지 않는 가장 편한 신발을 신는 것입니다. 일반적으로 발가락 쪽이 넓고 굽이 낮은 신발을 추천하며 운동화를 신는 것이 가장 좋습니다. 엄지 발가락의 돌출 부위 및 두 번째 세 번째 발가락 아래가 자극되지 않도록 신발 안에 교정 안창을 넣기도 합니다. 2) 수술적 치료 매우 다양한 수술법이 있고 각각의 장단점이 있습니다. 환자의 나이, 변형의 심한 정도, 환자가 가장 불편하게 생각하는 부분 등을 고려하여 수술 방법을 결정합니다. 수술법은 일반적으로는 돌출 부위의 뼈를 깍아내고 내외측으로 치우친 뼈를 잘라서 각을 교정하며 짧아진 근육 및 연부 조직을 늘려주는 것입니다. |
전방십자인대는 경골(종아리뼈)이 앞으로 빠지지 않게 관절의 안정성을 유지해주는 중요한 구조입니다.
전방십자인대 파열을 방치할 경우, 반복되는 관절의 비정상적 전방전위에 의해 반월상 연골이 파괴되고 관절연골이 비정상적으로 마모되어 퇴행성관절염이 발생됩니다. 그러므로 조기진단 및 치료가 바람직합니다.

| 원인 |
전방 십자인대는 여러 기전을 통해 파열이 발생할 수 있습니다.
여성 운동 선수가 특정 스포츠에서 남자 선수보다 전방 십자 인대 (ACL) 손상의 가능성이 높다고 합니다. 이런 차이는 남녀간의 신제적 조건, 근력 및 신경학적 반응의 차이에 기인한 것이라고 합니다. 다른 연구에서는 골반과 하지의 정렬, 인대의 탄력 정도 그리고 여성호르몬인 에스트로겐에 의한 차이 입니다. |
|---|---|
| 증상 |
전방 십자인대가 손상되게 되면 ‘뚝’ 하는 파열음이 들릴 수 있으며 이외 전형적인 증상은 다음과 같습니다.동통과 부종이 수상 후 24시간 이내에 나타나게 되며, 놔두면 2-3주내에 스스로 가라앉게 됩니다. 그러나 만약 운동을 하게 되면 무릎이 불안정한 것을 느낄 수 있으며 지속되는 경우 무릎 관절 안의 다른 구조의 손상을 초래하게 됩니다.
|
1) 비수술적 치료
비수술적 치료 방법은 노인이나 매우 낮은 활동 수준을 가지고 환자들에게 효과가 있을 수 있습니다.
무릎 관절의 안정성이 유지된다면 비수술적 치료를 권유합니다.
2) 수술적 치료
인대 재건 – 전방 십자인대 파열은 단순봉합이 불가능 합니다. 무릎의 안정성을 유지하기 위해선 재건(손상된 인대를 제거하고 새로 만들어 주는 수술법)을 해야 합니다. 인대를 이식하여 찢어진 인대를 대체하게 됩니다.
이식건은 여러 가지 방법으로 채취할 수 있습니다. 자가건(슬괵근, 슬개건)을 채취하여 사용할 수 있고 동종이식건을 사용할 수 있습니다. 현재 자가건이 감염 위험이 적고 수술 후 인대 복원력이 좋아 가장 많이 사용하나 모든 이식건에는 장점과 단점이 있습니다. 잘 맞는 이식건을 선택하기 위해 정형외과 전문의와 상담해 보셔야 합니다.
수술을 마치고 나서 다시 스포츠 활동을 재개하기까지 이식건 및 수술의 상황에 따라 약간씩 차이가 있으나 약 10개월 이상의 시간을 필요로 합니다.
후방십자인대는 경골(종아리뼈)이 뒤로 밀리는 것을 방지해주는 역할을 합니다. 후방십자인대는 무릎을 꿇고 넘어지거나 차가 급정거하여 종아리뼈가 차에 부딪혔을 때, 혹은 무릎이 뒤로 꺾이거나 뒤틀릴 때 손상을 입게 됩니다.

무릎에 통증이 있으며 무릎이 많이 부어 오를 수 있습니다.
다리가 불안정한 느낌이 있으며 의자에 앉아서 무릎에 힘을 줄 경우 뒤로 빠졌던 무릎이 앞으로 나오는 것을 스스로 확인 할 수 있습니다.
MRI : 후방 십자 인대와 같은 연부 조직을 검사하는데 유용한 검사입니다.
그러나 MRI 검사는 손상 후 약 6개월이 지난 경우 정상으로 보일 수도 있습니다.(ACL 손상은 만성화되면 인대가 없어져 안보이나, PCL 손상은 인대가 복원되어 MRI 에서 정상소견처럼 보일 수 있습니다) 이러한 경우 후방전위 검사가 매우 유용합니다.
슬관절 안정에 중요한 지지기구인 후방십자인대는 전방십자인대 파열의 경우와 마찬가지로 재건술을 시행합니다.
1) 보존적 요법
나이가 많거나 운동과 육체노동을 하지 않는 여성의 경우 6주간 고정 후 슬관절의 기능 회복을 도모합니다. 대퇴사두근 근력 강화운동을 잘 훈련시키면 80%정도는 좋은 결과를 얻을 수 있습니다.
※ RICE 요법: 운동과 연관된 손상인 경우 대부분 RICE요법이 효과적일 수 있습니다.
RICE란 안정(Rest), 냉찜질(Ice), 압박(Compression), 그리고 거상(Elevation)을 의미합니다.
2) 수술적 치료
만약 후방 십자 인대가 일반적으로 10- 13mm 이상 전위가 되고 다른 인대 파열 등의 동반된 다른 손상이 있다고 한다면 수술적 치료가 불가피 합니다.
인대 재건 – 파열된 후방 십자 인대를 봉합하는 것으로 치유가 되지 않기 때문에 후방 십자 인대가 파열 된 경우 재건이 필요합니다. 이식할 인대는 자가이식과 동종 이식이 있습니다. 재건 후 환자 몸에 안착을 하기까지는 수개월이 걸립니다.

후방 십자 인대 재건은 관절 내시경으로 시행하게 되며 상처를 최소화하는 수술 방법으로 수술 후에 적은 통증, 짧은 입원기간, 그리고 빠른 회복이 장점입니다. 후방 십자 인대 재건술은 지속적으로 발전하고 있으며 이런 수술 방법은 수술 후 더 넓은 범위의 활동을 재개할 수 있게 합니다.