허리디스크는 무거운 것을 들어 올리거나 교통사고, 물리적 충격에 의해 디스크가 본래의 자리에서 밀려나와 신경을 눌렀을 때 통증이 발생하는 질환입니다.
일반적으로 신경이 눌려서 발생하고 허리와 하반신(허벅지, 종아리, 발 등)의 통증을 동반합니다.
※ 디스크 : 척추뼈와 뼈 사이에 있는 물렁뼈 조직의 구조물

| 대표적 증상 |
|
|---|---|
| 원인 |
|
목디스크는 경추(목뼈)뼈와 뼈 사이에 있는 물렁뼈 조직인 디스크가 튀어나와 신경을 누르는 질환입니다.
퇴행성에 의해 뼈의 끝부분이 가시같이 자라나 신경을 눌러서 통증이 발생하기도 합니다. 목디스크가 악화되어 중추신경인 척수까지 누를 경우 하반신 마비나 전신마비까지 올 수 있어 조기에 발견해 치료를 하는 것이 바람직 합니다.
※ 디스크 : 척추뼈와 뼈 사이에 있는 물렁뼈 조직의 구조물

| 대표적 증상 |
|
|---|---|
| 원인 |
|
척추관 협착증은 디스크와 증상이 거의 비슷하게 나타납니다.
오랜시간 동안 조금씩 뼈, 인대, 디스크 등이 퇴화로 인해 척추관이 좁아지면서 신경을 누르게 되어 통증을 발생시키는 질환입니다.
선천적인 경우도 있으나 주로 40 - 50대 이후에 발병률이 높습니다.
허리디스크 증상과 큰 차이점은 디스크는 허리를 숙이면 통증이 악화되지만 척추관 협착증은 허리를 숙이면 증상이 완화됩니다.

| 대표적 증상 |
|
|---|
척추관은 척추 가운데 동그란 모양의 관으로 뇌에서 팔, 몸통, 다리로 가는 신경다발인 척수가 지나가는 길입니다.
허리에 나타나는 척추관협착증과는 달리 척수를 압박하게 되어 목, 어깨, 손 등에 통증이 나타나며 심하면 다리의 힘이 빠지는 증상부터 마비까지 나타날 수 있습니다.

| 대표적 증상 |
|
|---|---|
| 원인 |
경추 척추관협착증을 유발하는 가장 흔한 원인은 후종인대 골화증으로 척추체 후면의 후종인대가 두꺼워지고 석회화되어 딱딱해 지면서 척추관이 좁아지게 됩니다. 정상 경추 척추관의 직경은 17~18mm 정도인데 경추 척추관이 14mm이하인 경우 증상이 발생합니다. |
척추전방전위증은 한 척추뼈가 다른 척추뼈 위로 미끄러지면서 전방으로 튀어 나오게 된 상태를 말합니다.
척추전방전위증은 3가지로 분류됩니다.
척추분리증에 의한 전방전위증과 퇴행성에 의한 전방전위증, 그리고 외상(사고, 낙마 등)에 의한 전방전위증입니다.
척추전방전위증은 척추뼈가 옆에서 봤을때 계단 모양으로 미끄러져 있게 됩니다.
척추 후방전위증도 있는데 전방전위증과는 반대로 후방 3mm 이상 밀려난 경우를 말합니다.

| 대표적 증상 |
|
|---|
디스크 안의 수핵이 줄어들어 디스크가 납작해지고 탄력이 떨어지면서 외부 충격을 제대로 흡수할 수 없게 되면서 통증이 유발되게 됩니다.
척추뼈가 가시처럼 더 자란 상태에서 퇴행하게 되어 얇아진 디스크와 함께 신경을 자극하여 염증을 일으키고 통증을 유발합니다.
주로 50대에서 많이 발생하나 30~40대 젊은 층에서도 발생하고 있습니다.

| 대표적 증상 |
|
|---|---|
| 원인 |
|
척추뼈 사이를 붙여주는 디스크와 인대, 후관절 등의 퇴화, 척추 주변의 근육량 감소로 척추를 잡아주는 힘이 약해지면서 척추가 흔들거리는 상태를 척추불안정증이라고 합니다.

| 대표적 증상 |
척추불안정증은 대개 다리쪽 신경을 압박하여 통증을 유발합니다.
|
|---|---|
| 원인 | 나이가 들어감에 따라 생기는 퇴행성 변화에 의한 경우가 흔하며 남자보다 여자에게 더 많이 발생합니다. |

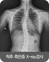
척추측만증은 여러가지 원인에 의하여 일자로 되어야 할 척추가 C자형 또는 S자형으로 휘어진 경우를 말합니다.
진단은 서있는 자세에서 양쪽 어깨 높이가 다르거나 등 뒤에서 환자를 봤을때 견갑골이 튀어 나오거나 척추가 휘어진 소견이 보이는 경우일 때 진단하며 정확한 진단을 위해서는 전신X-ray(엑스레이) 검사가 중요하며 검사를 통해 측만증의 부위, 정도 등을 진단하게 됩니다.
※ 자가진단법 : 환자를 똑바로 서게 한 뒤에 등을 몸 앞 쪽으로 90도 정도 숙이게 하고 뒤쪽에서 등의 높이가 대칭을 이루지 않고 한쪽이 더 높게 나타나면 진단할 수 있습니다.
| 대표적 증상 |
|
|---|---|
| 원인 |
|
디스크가 탈출되어 신경을 누르는 허리디스크 질환과 달리 디스크는 튀어 나오지 않았지만 퇴행성으로 변성된 디스크에 의해 허리통증이 생기는 경우를 디스크 내장증이라고 합니다.
원래 디스크는 척추뼈와 뼈 사이에 있는 물렁뼈 조직으로 젤리나 인절미와 같이 탄력있고 수분이 풍부한 상태입니다.
하지만, 이러한 디스크가 반복적으로 외부의 충격을 받게 되면 수분 성분이 줄고 MRI 검사에서 봤을 때 검은색으로 보이는 블랙디스크(Black disc) 변성을 일으키게 되고, 이렇게 디스크 내부에 변성이 일어나게 되면 손상된 부분에서 염증물질이 나오면서 허리 통증을 유발하게 되는 상태입니다.

| 대표적 증상 |
|
|---|---|
| 원인 | 무거운 물건을 들거나 장시간 앉아 있는 것과 같이 척추에 부담을 주는 자극이 반복적으로 지속될 때 발생합니다. |
척추분리증은 말 그대로 척추뼈가 분리되어 불안정한 상태를 말합니다.
척추뼈는 앞 쪽에 몸체가 있고, 뒤쪽에 신경이 지나가는 구멍이 있으며 이 곳을 감싸는 척추 추궁이 있는데, 이 곳에 금이 있어(결손이 생겨) 하나의 척추뼈가 결손 부위를 중심으로 따로따로 움직이는 상태를 말합니다.
결손 부위를 중심으로 척추뼈의 앞뒤가 불안정하게 흔들리게 됩니다.
대부분은 별 이상없이 지내다가 나이가 들면서 퇴행성 변화와 함께 협착증 및 척추 전방전위증으로 악화될 수도 있습니다.
선천적인 요소에 의해 발생하는 경우와 과격한 운동(체조, 축구, 다이빙 등)을 반복적으로 하는 경우 척추에 과부하가 발생하여 피로골절에 의하여 뼈에 결손이 발생하기도 합니다.

| 대표적 증상 |
|
|---|---|
| 원인 |
|
후관절통, 요추협착증과 함께 노인성 요통의 대표적인 원인 중에 하나가 압박골절입니다.
흔히 골절이라고 하면 뼈가 부러지거나 금이 가는 상태를 말하지만 척추의 압박골절은 서로 간격을 유지하며 맞물려 있어야 할 척추뼈가 납작하게 내려앉는 증상을 가리킵니다.

| 대표적 증상 |
|
|---|---|
| 원인 |
압박골절의 흔한 원인중의 하나는 골다공증입니다. 골밀도가 정상인 사람은 강한 충격에도 타박상을 입을 뿐 뼈가 부러지는 예는 드문데 골다공증이 있으면 가볍게 엉덩방아만 찧어도 척추에 쉽게 압박골절이 일어납니다. 골다공증은 뼈의 노화가 주요 원인이므로 압박골절 환자도 대부분 60~70대 이상 노인층입니다. 골다공증에 걸릴 위험이 높은 경우
|
| 예방법 |
|
| 방치하는 경우 |
척추에서 지속적으로 압박골절이 일어나게 되면 척추가 앞으로 굽는 척추후만증의 원인이 되기도 합니다. 척추후만증 진단을 받을 정도라면 이미 골다공증은 물론 척추 여러 곳에서 압박골절이 진행되고 있었다고 봐야 합니다. 또 장기적으로는 심장과 폐 등 주요 장기의 기능까지 저하돼 수명을 단축시킬 위험도 있습니다. |
C자 형태가 아닌 일자 형태의 수직으로 변형된 상태를 일자목증후군 또는 거북목증후군 이라고 합니다. 목은 7개의 척추와 그 척추를 연결해주고 있는 디스크와 수많은 근육과 인대로 구성되어 있습니다.
이러한 경추(목뼈)는 옆에서 보았을 때 C자 형태로 척추의 정상적인 커브를 나타내고 있어야 하는데 일자 형태의 수직으로 변형된 상태를 일자목증후군 또는 거북목증후군 이라고 합니다.
경추의 C자 커브는 스프링처럼 충격을 분산시키는 역할을 하는데 일자목이 되면 충격 완화 능력이 현저히 떨어져 외부 충격이 척추에 고스란히 전달되어 디스크 퇴행을 촉발하게 되어 목디스크가 생기거나 경추에 퇴행성 질환이 생길 수 있습니다.

| 대표적 증상 |
|
|---|---|
| 원인 |
일자목은 생활습관이 가장 중요한 요인이 되어 발생합니다.
|
신경공협착증은 나이가 들면서 발생하는 척추의 퇴행성 질환 중 하나입니다.
척추관협착증이 중요한 척수신경이 지나가는 중심 척추관이 좁아져서 발생한다면 신경공협착증은 중심 척추관을 빠져 나와 팔이나 다리로 가는 신경이 지나가는 길인 신경공부위가 좁아져서 신경이 눌리게 되어 목과 팔의 통증이나 허리와 다리에 통증이 생기는 질환입니다.

| 대표적 증상 |
신경공협착증이 발생한 부위와 정도에 따라 증상은 다양하게 나타납니다.
|
|---|---|
| 원인 | 오랜 시간에 걸친 척추의 퇴행성 변화가 주요인이며 반복적인 나쁜 자세나 퇴행성 변화에 의해 디스크가 늘어나고 척추가 마모되면서 작은 가시처럼 뼈가 자라나 신경이 빠져나가는 길인 신경공을 좁아지게 하여 신경공을 지나가는 신경이 압박 받게되어 증상이 발생하게 됩니다. |
| 예방법 | 물건을 들던 쪽으로 계속 드는 습관, 목을 삐딱하게 하거나, 한쪽으로만 사물을 계속 본다거나, 오래 앉아 있거나 서 있는 자세, 다리 꼬는 습관 등은 척추의 퇴행을 촉진시켜 신경공협착증을 유발하고 악화시킬 수 있습니다. |
| 치료법 |
단, 신경공협착증과 함께 중증 척추관협착증이 동반된 경우나 다리마비 등의 중증 증상이 나타난 경우에는 수술적 치료가 필요할 수 있습니다. |